MAX DENTA
Daugiau nei 30 metų patirties Kauno centre.
Tūkstančiai patenkintų pacientų, profesionali komanda ir modernūs gydymo sprendimai – Jūsų sveikai šypsenai.
ODONTOLOGIJOS KLINIKA KAUNE














⭐⭐⭐⭐⭐ 4.9 / 5
pagal Google atsiliepimus
Padėkite mums augti 💚
PASLAUGOS
PLOMBAVIMAS
Atkuriame pažeistus dantis estetinėmis, ilgaamžėmis medžiagomis.
Išsaugome natūralią danties struktūrą.
PROTEZAVIMAS
Atkuriame dantų funkciją ir estetiką naudojant modernius protezavimo sprendimus.
Sprendimas net ir sudėtingais atvejais.
ENDODONTIJA
Šaknų kanalų gydymas naudojant modernią įrangą.
Tikslus ir kruopštus infekcijų šalinimas.
IMPLANTACIJA
Dantų implantacija – pažangus būdas atkurti prarastus dantis.
Užtikriname tvirtą, ilgaamžį ir estetišką rezultatą.
BURNOS HIGIENA
Profesionali burnos higiena ir profilaktika.
Sveikai ir estetiškai šypsenai palaikyti.
VAIKŲ ODONTOLOGIJA
Švelnus ir atsakingas gydymas mažiesiems pacientams.
Saugios patirties kūrimas nuo pirmo vizito.
DANTŲ BALINIMAS
Estetinis dantų balinimas – šviesesnei ir patrauklesnei šypsenai.
SKUBIOJI PAGALBA
Greita pagalba esant skausmui ar traumoms.
Priimame skubos tvarka.
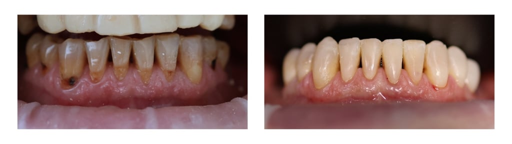
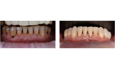
MŪSŲ DARBAI


Apatinių dantų gydymas ir plombavimas kompozitinėmis restauracijomis.


Ofisinis dantų balinimas su BEYOND.
Realios pacientų istorijos
ESATE MAXDENTA PARTNERIS?
Maxdenta klinika Kaune bendradarbiauja su įvairiomis bendruomenėmis ir organizacijomis.
Kariai, šauliai, policijos pareigūnai, ugniagesiai, pasieniečiai, muitinės ir aplinkosaugos darbuotojai, senjorai bei KTU bendruomenės nariai gali pasinaudoti specialiomis sąlygomis.
Partneriams ir jų šeimos nariams taikome 20% nuolaidą visoms odontologinėms paslaugoms.
KODĖL RINKTIS MAXDENTĄ?
DAUGIAU NEI 30 METŲ PATIRTIES
Ilgametė praktika ir tūkstančiai patenkintų pacientų.
MODERNI KLINIKA IR ŠIUOLAIKINIS GYDYMAS
Taikome pažangius sprendimus tikslumui ir ilgaamžiškumui užtikrinti.
INDIVIDUALUS POŽIŪRIS
Kiekvienam pacientui sudarome aiškų ir suprantamą gydymo planą.
4.9 ĮVERTINIMAS GOOGLE PLATFORMOJE
Aukštas pacientų pasitikėjimas – mūsų darbo rezultatas.
PATOGI VIETA KAUNO CENTRE
Vytauto pr. 37 – lengvai pasiekiama tiek automobiliu, tiek viešuoju transportu.
VISOS PASLAUGOS VIENOJE VIETOJE
Nuo profilaktikos iki implantacijos – viskas vienoje klinikoje.
DARBO LAIKAS:
Pirmadienis -Penktadienis
8.00 - 18.00
MUS RASITE:
KONTAKTAI:
Vytauto prospektas 37
Kaunas, Lietuva
info@maxdenta.lt
Jūsų duomenys saugūs. Reklamų nesiunčiame.
PARAŠYKITE MUMS!
Maxdenta odontologijos klinika Kaune įsikūrusi miesto centre, Vytauto pr. 37.
Teikiame visas dantų gydymo paslaugas: nuo profesionalios burnos higienos iki implantacijos ir protezavimo.
Jei ieškote patikimos odontologijos klinikos Kaune, kviečiame registruotis konsultacijai.
Užpildykite formą ir susisieksime su jumis per 1 darbo dieną.
+370 655 21 666






































